Dr. SlaughterBefore & After Pictures


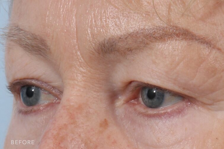
BEFORE
AFTER
Click here to see more views
* Individual Results May Vary
Case # SBLE007 | Upper Eyelid Surgery Albany, Latham, Saratoga, NY
- Gender: Female
Upper/lower eyelid surgery performed by Dr. Slaughter..... Read Full Story
Upper/lower eyelid surgery performed by Dr. Slaughter..


BEFORE
AFTER
Click here to see more views
* Individual Results May Vary
Case # SBLE008 | Upper Eyelid Excision Albany, Latham, Saratoga NY
- Gender: Female
- Age: 67


BEFORE
AFTER
Click here to see more views
* Individual Results May Vary
Case # SBLE009 | Excision of Upper Eyelid Skin Albany, Latham, Saratoga, NY
- Gender: Female
- Age: 65


BEFORE
AFTER
Click here to see more views
* Individual Results May Vary
Case # SBLE010 | Upper Eyelid Blepharoplasty Albany, Latham, Saratoga NY
- Gender: Female
- Age: 56


BEFORE
AFTER
Click here to see more views
* Individual Results May Vary
Case # SBLE013 | Upper/Lower Blepharoplasty Albany, Latham, Saratoga NY
- Gender: Female
- Age: 64


BEFORE
AFTER
Click here to see more views
* Individual Results May Vary
Case # SBLE014 | Excision of Upper Eyelid Skin Albany, Latham, Saratoga NY
- Gender: Female
- Age: 66


BEFORE
AFTER
Click here to see more views
* Individual Results May Vary
Case # SD001 | Keloid Removal Albany, Latham, Saratoga NY
- Gender: Female


BEFORE
AFTER
Click here to see more views
* Individual Results May Vary
Case # SMOH002 | MOH’s Reconstruction Albany, Latham, Saratoga NY
- Gender: Female
- Age: 53
Reconstruction of MOH's following SCC in the left lip.... Read Full Story
Reconstruction of MOH's following SCC in the left lip.

BEFORE
AFTER
Click here to see more views
* Individual Results May Vary
Case # SMOHS001 | MOHS Reconstruction Albany, Latham, Saratoga NY
- Gender: Male

BEFORE
AFTER
Click here to see more views
* Individual Results May Vary
Case # SMOHS004 | MOHs Reconstruction Albany, Latham, Saratoga NY
- Gender: Female
- Age: 58

BEFORE
AFTER
Click here to see more views
* Individual Results May Vary
Case # SMOHS007 | MOHs Reconstruction Albany, Latham, Saratoga NY
- Gender: Female
- Age: 84

BEFORE
AFTER
Click here to see more views
* Individual Results May Vary
Case # SMOHS009 | MOHS Reconstruction Albany, Latham, Saratoga NY
- Gender: Female













