Galleries by Procedure:
Facial ProceduresBefore & After Pictures

* Individual Results May Vary
Case # FL138 | Deep Plane Facelift Albany, Latham, Saratoga NY
- Gender: Female
- Age: 54

* Individual Results May Vary
Case # FL137 | Deep Plane Facelift Albany, Latham, Saratoga NY
- Gender: Female

* Individual Results May Vary
Case # LIP04 | Neck Liposuction Albany, Latham, Saratoga NY
- Gender: Female

* Individual Results May Vary
Case # FL136 | Deep Plane Facelift Albany, Latham, Saratoga NY
- Gender: Female
- Age: 58

* Individual Results May Vary
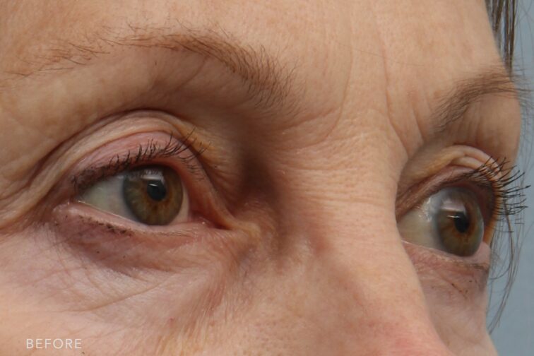
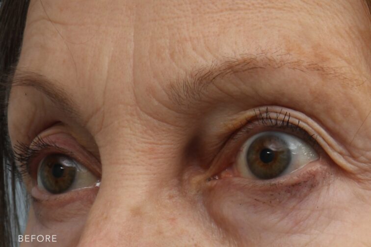
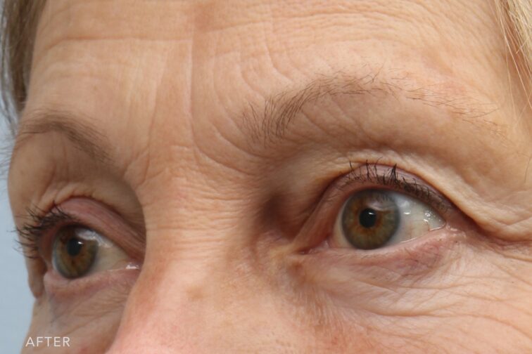
Case # BLE113 | Eyelid Surgery & Ptotis Repair Albany, Latham, Saratoga NY
- Gender: Female


* Individual Results May Vary
Case # RNR072 | Rhinoplasty Albany, Latham, Saratoga NY
- Gender: Female
- Age: 31


* Individual Results May Vary
Case # RNR078 | Rhinoplasty Albany, Latham, Saratoga NY
- Gender: Female
- Age: 18

* Individual Results May Vary
Case # RNR126 | Cosmetic Rhinoplasty Albany, Latham, Saratoga NY
- Gender: Male
- Age: 63

* Individual Results May Vary
Case # FL134 | Deep Plane Lower Face & Neck Lift, Upper/Lower Bleph & Fat Grafting Albany, Latham, Saratoga NY
- Gender: Female
- Age: 50

* Individual Results May Vary
Case # RNR125 | Cosmetic Rhinoplasty Albany, Latham, Saratoga NY
- Gender: Male

* Individual Results May Vary
Case # RNR124 | Cosmetic Rhinoplasty Albany, Latham, Saratoga NY
- Gender: Female
- Age: 43

* Individual Results May Vary
Case # FL133 | Deep Plane Facelift Albany, Latham, Saratoga NY
- Gender: Female
- Age: 66
Our facial procedures gallery highlights real results from surgical enhancements designed to refine and rejuvenate. From facelifts to eyelid surgery and rhinoplasty, each image showcases the transformative outcomes our board certified surgeons achieve.
See how we help patients restore youthful contours, enhance facial harmony, and boost confidence through personalized care. Browse our galleries to explore what we offer.
















































































