Galleries by Procedure:
Facial ProceduresBefore & After Pictures


* Individual Results May Vary
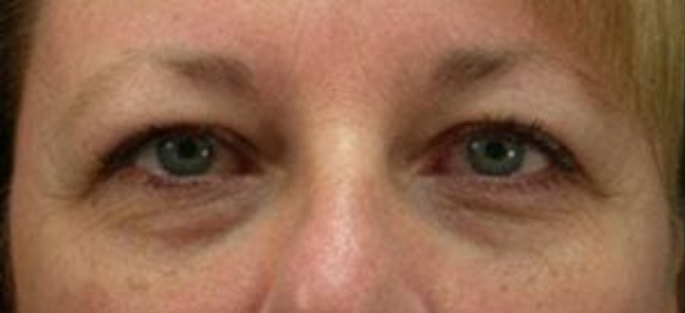
Case # BLE56 | Upper Eyelid Surgery Albany, Latham, Saratoga NY
- Gender: Female


* Individual Results May Vary
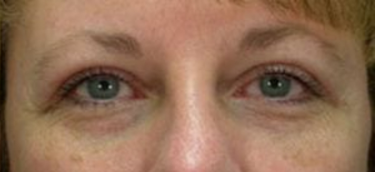
Case # BLE57 | Eyelid Surgery Albany, Latham, Saratoga NY
- Gender: Female


* Individual Results May Vary
Case # FT01
- Gender: Female
- Age: 60 - 69


* Individual Results May Vary
Case # FT-02
- Gender: Female
- Age: 70 - 79


* Individual Results May Vary
Case # FT-03
- Gender: Female


* Individual Results May Vary
Case # BLE72 | Upper Eyelid Surgery Albany, Latham, Saratoga NY
- Gender: Female
- Age: 60 - 69


* Individual Results May Vary
Case # FT-04
- Gender: Female


* Individual Results May Vary
Case # FT-05
- Gender: Female


* Individual Results May Vary
Case # FT-06
- Gender: Female


* Individual Results May Vary
Case # FT-07
- Gender: Female


* Individual Results May Vary
Case # FT-08
- Gender: Male


* Individual Results May Vary
Case # FT-09
- Gender: Female
Our facial procedures gallery highlights real results from surgical enhancements designed to refine and rejuvenate. From facelifts to eyelid surgery and rhinoplasty, each image showcases the transformative outcomes our board certified surgeons achieve.
See how we help patients restore youthful contours, enhance facial harmony, and boost confidence through personalized care. Browse our galleries to explore what we offer.








